Skocz do zawartości
Szukaj w
  • Więcej opcji...
Znajdź wyniki, które zawierają...
Szukaj wyników w...
Gość

Najlepszy przyjaciel człowieka :-)

Rekomendowane odpowiedzi

Gość tessio

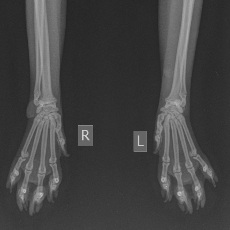
No i skończyło się rumakowanie, łapa pęknięta ☹️

20230424_171329.jpg

Małe - Szkielet _ 10 kg-Nadgarstek AP-2023-05-12-17_46_44-685.jpg

Udostępnij tę odpowiedź


Odnośnik do odpowiedzi
Udostępnij na innych stronach
45 minut temu, tessio napisał(-a):

No i skończyło się rumakowanie, łapa pęknięta ☹️

20230424_171329.jpg

jak do tego doszło ?

Udostępnij tę odpowiedź


Odnośnik do odpowiedzi
Udostępnij na innych stronach
Gość tessio

Nie mamy pojęcia, zauważyliśmy, że lekko utyka, ale nie cały czas i w ogóle ciężko było to zaobserwować.  Pierwszy weterynarz stwierdził, że ma mało jakiejś mazi miedzy kośćmi nadgarstka, dał jakiś zastrzyk oraz suplementację kolagenem i kazał przyjść do kontroli na drugi dzień. W drugim dniu na kontroli inny weterynarz stwierdził, że coś jest nie tak w łokciu i zlecił RTG. Finalnie poszliśmy na RTG do trzeciego i wyszło pęknięcie w nadgarstku.

Udostępnij tę odpowiedź


Odnośnik do odpowiedzi
Udostępnij na innych stronach

Która to łapa? 

Udostępnij tę odpowiedź


Odnośnik do odpowiedzi
Udostępnij na innych stronach
Gość tessio

Prawa przód.

Udostępnij tę odpowiedź


Odnośnik do odpowiedzi
Udostępnij na innych stronach

To złamanie nie w nadgarstku ale wyżej. Złamana kość łokciowa w 1/4 dalszej, przerwana jedna korówka, takie trochę zlamanie tzw. zielonej gałązki. 

Udostępnij tę odpowiedź


Odnośnik do odpowiedzi
Udostępnij na innych stronach
Gość tessio

No tak tak, nad nadgarstkiem. Masz z tym jakieś doświadczenie? Weterynarz stwierdziła, że powinno się samo zrosnąć, mamy zrobić prześwietlenie za 3 tygodnie. Myślisz, że iść jeszcze gdzie indziej?

Edytowane przez tessio

Udostępnij tę odpowiedź


Odnośnik do odpowiedzi
Udostępnij na innych stronach
W dniu 6.01.2023 o 21:18, Jacek K. napisał(-a):

Pełen luz :)

 

 

 

20230106_120309_DCE.jpg

Cairn 😍🥰😍

Identyczny jak mój urwis. 
Mojego też nic nie zatrzyma jak coś zwietrzy lub zobaczy. Bez smyczy tylko na dobrze znanym lub na dobrze ogrodzonym terenie.
No albo na ryzyku, nad morzem, albo nad jeziorem, bo lubi pływać. Na ostatniej fotce jeszcze jako maluch. 🙂

IMG_2411.jpeg

IMG_9112.jpeg

IMG_7574.jpeg


"Błogosławiony ten, co nie mając nic do powiedzenia, nie obleka tego faktu w słowa" - Julian Tuwim. 

Udostępnij tę odpowiedź


Odnośnik do odpowiedzi
Udostępnij na innych stronach

Uroczy maluch :)

Moja skończyła już 16 miesięcy i waży aż 10kg :)

 

 

20230503_143645.jpg

20230414_160604.jpg


 
 
 

 

 

Udostępnij tę odpowiedź


Odnośnik do odpowiedzi
Udostępnij na innych stronach
18 godzin temu, tessio napisał(-a):

No tak tak, nad nadgarstkiem. Masz z tym jakieś doświadczenie? Weterynarz stwierdziła, że powinno się samo zrosnąć, mamy zrobić prześwietlenie za 3 tygodnie. Myślisz, że iść jeszcze gdzie indziej?

Nie wiem jak u kotów - u ludzi się gipsuje😁

Ale pewnie samo się zrośnie. Zwierz będzie oszczędzał kończynę z bólu i powinno być ok. 

Edytowane przez loco50

Udostępnij tę odpowiedź


Odnośnik do odpowiedzi
Udostępnij na innych stronach

Kot zdejmie sobie sam gips. Sukces jak taki gips wytrzyma z jeden dzień na jego łapie - wiem z doświadczenia. Najczęściej weterynarze, jeśli złamanie nie jest poważne, to nawet nie zakładają gipsu bo nie ma to sensu. Łapka się zrośnie - będzie dobrze 🙂

Udostępnij tę odpowiedź


Odnośnik do odpowiedzi
Udostępnij na innych stronach
Gość tessio

Dzięki za odpowiedzi. Cza czekać w takim razie.

Udostępnij tę odpowiedź


Odnośnik do odpowiedzi
Udostępnij na innych stronach
W dniu 18.05.2023 o 21:47, Jacek K. napisał(-a):

Uroczy maluch :)

Moja skończyła już 16 miesięcy i waży aż 10kg :)

 

 

20230503_143645.jpg

20230414_160604.jpg

To nieźle! Mój ma 3 lata i waży 8,5 kg. Chłopak. 


"Błogosławiony ten, co nie mając nic do powiedzenia, nie obleka tego faktu w słowa" - Julian Tuwim. 

Udostępnij tę odpowiedź


Odnośnik do odpowiedzi
Udostępnij na innych stronach

Ma bardzo duży apetyt, jest taka miła i grzeczna, że nie sposób nie poczęstować ją czymś ze stołu :) poza tym mieszka w bloku, więc ruchu ma trochę mało. Karmimy 2x dziennie, po ok.50g (karma sucha połączona z mokrą). Na wakacje pojedziemy nad morze, potem do lasu, będzie więcej spacerów, to może trochę schudnie :)


 
 
 

 

 

Udostępnij tę odpowiedź


Odnośnik do odpowiedzi
Udostępnij na innych stronach

spacer.png

Udostępnij tę odpowiedź


Odnośnik do odpowiedzi
Udostępnij na innych stronach

Starość dopada.

 

Kicia ma niewydolność nerek 

received_690076082882584.jpeg

received_934863697560797.jpeg

Udostępnij tę odpowiedź


Odnośnik do odpowiedzi
Udostępnij na innych stronach

Dwa pokolenia na jednym zdjęciu 😍

 

IMG_20230529_190747.jpg

Udostępnij tę odpowiedź


Odnośnik do odpowiedzi
Udostępnij na innych stronach

Rzeczywiście. 😂 Normalnie tryb berserker. 😀

Edytowane przez agremi
Lyterufka.

"Błogosławiony ten, co nie mając nic do powiedzenia, nie obleka tego faktu w słowa" - Julian Tuwim. 

Udostępnij tę odpowiedź


Odnośnik do odpowiedzi
Udostępnij na innych stronach
14 minut temu, agremi napisał(-a):

Rzeczywoście. 😂 Normalnie tryb berserker. 😀

 

 

One dosłownie się uśmiechają, 

Udostępnij tę odpowiedź


Odnośnik do odpowiedzi
Udostępnij na innych stronach

Jeśli chcesz dodać odpowiedź, zaloguj się lub zarejestruj nowe konto

Jedynie zarejestrowani użytkownicy mogą komentować zawartość tej strony.

Zarejestruj nowe konto

Załóż nowe konto. To bardzo proste!

Zarejestruj się

Zaloguj się

Posiadasz już konto? Zaloguj się poniżej.

Zaloguj się

  • Ostatnio przeglądający   0 użytkowników

    Brak zarejestrowanych użytkowników przeglądających tę stronę.

×
×
  • Dodaj nową pozycję...

Powiadomienie o plikach cookie

Umieściliśmy na Twoim urządzeniu pliki cookie, aby pomóc Ci usprawnić przeglądanie strony. Możesz dostosować ustawienia plików cookie, w przeciwnym wypadku zakładamy, że wyrażasz na to zgodę.